Orthodontist Barcelona
general
Orthodontics is not only about aesthetic improvement but also creating proper function.
The goal is to avoid typical problems caused by dental malposition like the overloading of certain teeth mechanically, the creation of joint problems (TMJ) or the generation of gum problems due to crooked teeth.
Dental malposition concerns either the improper positioning of the teeth in relation to each other (dental), the improper positioning of the jaws in relation to each other (skeletal), or a combination of both factors.
when to start orthodontic treatment
Although most treatments begin in adolescence, in the case of skeletal aberrations, early diagnosis and treatment is optimal in order to have a greater chance of complete correction.
In the case of late detection, surgical correction where the jaws are moved or split (orthognathic surgery) may be necessary.


Severe skeletal cases need very early treatment (5 -8 years), while moderate ones (usually by the age of 9 -13 years) involve removable appliances which are used to influence growth and dentition. From this age regular check-ups are recommended. The effectiveness of removable orthodontics is limited to the changing dentition of the patient.
Afterwards, fixed appliances are needed. With adolescents, advantage is taken of their growth spurt, which is typically around 11 years old for girls and 14 years old for boys.
Nevertheless, orthodontic treatment is by no means limited to children or adolescents and can even be necessary at an advanced age.
orthodontics for adults
Orthodontics for adults has gained importance as many problems do come up at a later age.
Frequent problems:
Crooked teeth (especially lower anteriors) facilitate tartar accumulation and consequently cause periodontal problems and even tooth loss.
After tooth loss, neighbouring teeth may tilt towards the gap and become overloaded causing bone loss and, in places, dirt retention.
Badly positioned teeth become overloaded and worn down to the extent of needing crowning and can even cause TMJ problems.
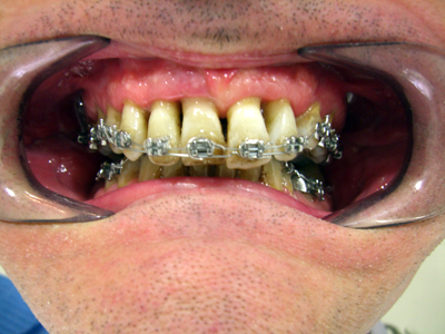
In order to meet adults’ needs, aesthetic alternatives to metal braces have been introduced although the metal version remains the most effective device, typically needing less treatment time.
Ceramic braces are similar to their metal counterparts using basically the same mechanics but being less visible.
The alternative, the attachment of lute braces to the inner part of the teeth (lingual technique), has proved to be less successful than the conventional technique due to mechanical limitations, being less effective and tending to be more uncomfortable owing to its close proximity to the tongue.
The least visible treatment with also the best marketing is the Invisalign technique, which is used to correct mild problems. Patients receive a new transparent splint every 7 – 10 days, in which the teeth are slightly straighter than in the previous one, creating pressure which in turn starts to move the teeth.
It remains impossible to correct important aberrations involving inconsistent teeth height, problems with the width of the arch bow and skeletal problems. Typically, adjacent teeth need to be drilled to permit movements. Mild cases or relapses from previous treatments can be treated, though often require more time.
intelligent Orthodontics
The basic principle of preprogrammed appliances (brackets) is to move teeth on a connecting wire. Each tooth has a specific bracket where a determined torque is milled into the slot. Once a straight wire is attached to the bracket the tooth and its root take up an ideal position. The most commonly used Roth appliance uses the inclinations identified by Dr. Roth on test patients. All other systems follow the same model using slightly different angles.
However, as all these systems reference a position copied from Roth’s model without taking into consideration the actual position of the patient’s tooth and the planned movement, all patients consequently get the same appliance regardless of their needs. As a consequence, in order to correct positions inadequate forces sometimes need to be applied or simply the case remains under-corrected or gets corrected surgically.
In Deutsche ZK clinic we administer an intelligent digital system which considers mainly the starting position. The IP®- appliance (USA) uses Roth’s values as a basis without limiting itself to 28 brackets but instead having 250 different appliances.
Given the fact that a tooth moves within its bone, the foreseen movement of the root as well as its position is quantified digitally and computer-supported in order to determine a specific appliance so that all problems get corrected from the very beginning. This way a faster and safer correction can be administered where applied forces are light and consequently the result is more consistent.








